近日,农林科学国际期刊《Scientia Horticulturae》在线发表了星空彩票体彩版番茄育种团队的研究论文“SlWRKY30, a positive regulator of resistance to Meloidogyne incognita in Solanum lycopersicum”。该研究利用抗线虫番茄材料的两套RNA-seq联合分析,通过对筛选出SlWRKYs基因的克隆和根部表达模式鉴定,发掘了可能参与抗病调控的SlWRKY30基因。随后,利用瞬时沉默和稳定超表达技术对该基因的功能进行验证。再对超表达T2代株系进行生理、生化,植物激素信号积累和ROS系统进行联合测定,初步探究出其可能参与的信号传导途径,为后续该基因具体分子调控机制的解析以及番茄品种抗性改良提供理论基础和遗传资源。

根结线虫病(Root-knot nematode)是全球设施蔬菜种植中主要的土传病害之一,在我国常见的根结线虫种群包括南方根结线虫(优势种)、爪哇根结线虫、花生根结线虫和北方根结线虫,其宿主种类超过3000种。番茄(Solanum lycopersicum L.)是根结线虫的主要宿主,当线虫侵入番茄根部时,它们特有的口针会在根部的维管束附近分泌唾液和酶,并建立巨型细胞(GCs)和过度增生组织作为取食场所。而增大的GCs会导致根部肿胀和根结的形成,从而阻碍番茄对养分的吸收。根结线虫不仅影响最终番茄果实的品质,还会导致产量降低甚至绝收,这极大地阻碍了番茄产业的健康发展。
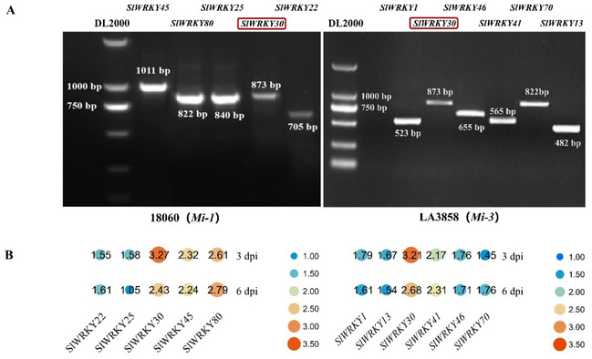
团队前期对南方根结线虫(M. incognita)具有抗性的番茄自交系‘18060’(Mi-1/Mi-1)和秘鲁番茄‘LA3858’(Mi-3/Mi-3)进行接种处理和RNA-seq分析。通过统计不同接种阶段各样本的FPKM值,分别在Mi-1和Mi-3番茄中筛选出共17个和16个差异表达的SlWRKYs基因。基于对抗病和易感组之间共表达模式分析,重点关注3 dpi和6 dpi时的基因上调趋势,发现在Mi-1和Mi-3番茄中分别有5个和6个SlWRKYs基因被显著诱导。


图1 Mi-1和Mi-3两材料中SlWRKYs基因在不同样本中的FPKM统计与PCR鉴定
通过对筛选的目标SlWRKYs基因进行根部表达模式鉴定,重点关注SlWRKY30。在Mi-1番茄的3 dpi阶段,SlWRKY30的表达显著上调,增加了11.02倍,较其它SlWRKYs呈现最大增幅。在6 dpi阶段,其表达倍数降至5.70。同样,在Mi-3番茄的3 dpi阶段,SlWRKY30差异倍数增加高达9.15倍,而在6 dpi阶段,仍表现出7.31倍的差异表达。


图2 接种后不同抗病番茄根部中目标SlWRKYs基因的表达模式鉴定
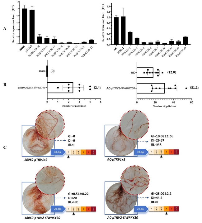
随后对‘AC’和‘18060’两番茄植株均进行SlWRKY30瞬时沉默(VIGS)验证。结果显示,‘AC’中沉默植株的根结指数(GI)为25,病情指数(DI)为44.4;而在对照植株中,GI为10.08,DI为26.67。在‘18060’沉默植株中,GI为0.54,DI为20;而在对照植株中,GI和DI均为0。

图3 VIGS初步验证SlWRKY30基因的调控功能
再对超表达T2代株系中SlWRKY30的表达水平进行测定,最终选择表达水平增加超过100倍的阳性株进行后续接种实验。结果显示,超表达株系的平均根结数量为125.2,显著低于野生型WT(288.7)。超表达株系的GI和DI分别为94.50和46.7,显著低于WT(GI=151.52,DI=81.5)。综合统计,超表达株系的抗性水平提高了两个等级,从高感HS提升到了抗病R。结合VIGS结果,SlWRKY30具有正向调控作用,其表达增强了番茄对根结线虫病的抗性。同时,亚细胞定位结果也进一步证明SlWRKY30作为核定位基因发挥相关功能。


图4 超表达SlWRKY30的调控功能鉴定与亚细胞定位分析
最后对代谢信号的初步探索表明,SlWRKY30可能会刺激多种信号传导,例如水杨酸、茉莉酸、乙烯和油菜素内酯等信号,并且通过影响ROS清除酶的活性来调控ROS的积累,协同渗透调节物质从而阻碍取食部位的形成,最终阻碍根结的生长。





