Mitochondrial structure and respiratory metabolism in cold resistance of alfalfa seedling root
低温已经成为限制苜蓿产业发展的重要的环境因素,苜蓿的越冬问题已经成为限制我国北方尤其是新疆地区牧草成功建植和草地可持续利用的关键问题。秋眠是紫花苜蓿对晚秋生长环境变化的一种适应性反应。秋眠性作为苜蓿品种的生长特性与抗寒性之间存在着密切的关联。但秋眠性与抗寒性的具体影响机制尚不明确。
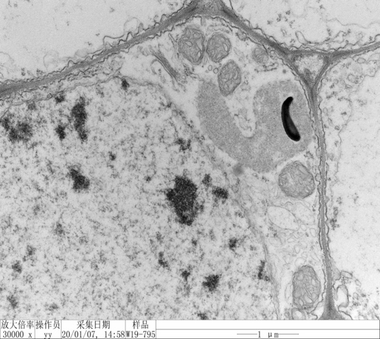
多年生苜蓿以根的形式越冬,因此,苜蓿的抗寒性以及成功越冬的关键在于其根部的抗寒性。在没有叶绿体结构不能进行光合作用的根部,呼吸作用是维持根部细胞生长所需能量ATP的唯一途径。星空彩票体彩版刘美君副教授团队选用不同秋眠级的新牧4号(秋眠级为2) 和甘农5号(秋眠级为8) 的紫花苜蓿为试验材料,研究发现,低温显著影响了苜蓿根系细胞呼吸代谢,细胞线粒体电子传递链复合体复合体II、III和IV受抑明显致使氧化磷酸化解偶联,导致用以细胞生长所需的能力ATP供应不足,导致根系细胞生长受抑制。低温下,低秋眠级苜蓿根系线粒体结构以及线粒体电子传递链中复合体II和复合体III活性较为稳定,且交替氧化酶呼吸比重的增加有效的维持了根系的氧化还原平衡,维持了ATP的正常供应,从而提高了苜蓿根系的抗寒性。本研究丰富了苜蓿秋眠性和抗寒性之间的理论体系,并且指出苜蓿根系线粒体电子传递链中复合体II和复合体III是苜蓿抗寒的关键,为今后抗寒苜蓿品种的遗传改良和抗寒品种的选育提供新的思路。
文章信息:Meijun Liu, Yu Miao, Lijia Zhang, Yaoyao Zhao, Jie Wang. Mitochondrial structure and respiratory metabolism in cold resistance of alfalfa seedling root[J]. Theoretical and Experimental Plant Physiology, 2023.10.1007/s40626-023-00288-y
原文链接:10.1007/s40626-023-00288-y




![]()
![]()
![]()
![]()
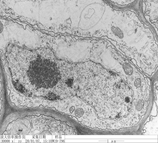
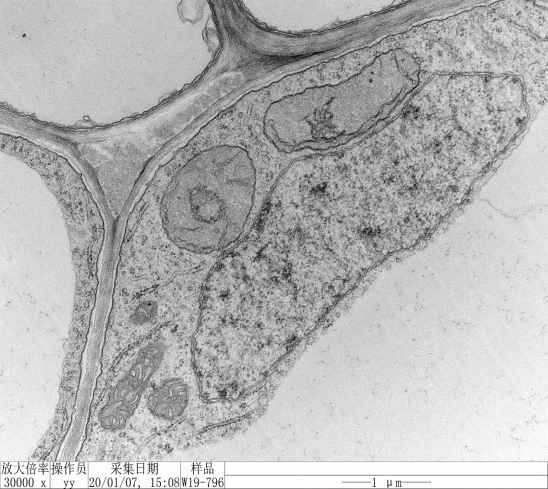
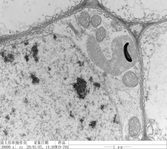
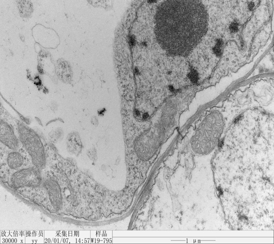
Fig. 2 Effect of low temperature on alfalfa seedling root mitochondrial ultrastructure(30000×). The mitochondrial structure of Xinmu No.4 at 26℃(A)and 4 ℃(C), of Gannong No.5 at 26℃(B)and 4 ℃(D). M:Mitochondria
Fig. 4 Effect of low temperature on the respiration state of mitochondria in alfalfa roots. Respiration states of root mitochondria when NADH (A,B) and succinate (C,D), respectively, are used as substrate after LT treatment
